Niềng răng lệch lạc mất bao lâu? Có rút ngắn được không?

Niềng răng lệch lạc thường mất từ 6–36 tháng, tùy mức độ lệch răng, độ tuổi, phương pháp chỉnh nha và mức độ hợp tác của người điều trị. Trường hợp lệch nhẹ có thể hoàn tất sau 6–12 tháng, trong khi lệch nặng hoặc kèm sai khớp cắn phức tạp có thể kéo dài đến 3 năm để đảm bảo răng dịch chuyển an toàn và ổn định lâu dài.

1. Các yếu tố quyết định thời gian niềng răng lệch lạc

Thời gian niềng răng lệch lạc phụ thuộc vào mức độ sai lệch răng, độ tuổi, phương pháp chỉnh nha, tay nghề bác sĩ và mức độ tuân thủ điều trị. 

1.1 Mức độ lệch lạc

Mức độ sai lệch ban đầu là yếu tố quyết định lớn nhất đến thời gian niềng răng lệch lạc. Răng càng chen chúc nhiều, xoay lệch phức tạp hoặc kèm sai khớp cắn thì răng cần di chuyển nhiều hơn, đòi hỏi lực kéo được kiểm soát chặt chẽ và lộ trình điều trị dài hơn.

  • Lệch nhẹ: răng hơi chen chúc, thưa ít khoảng 6–18 tháng
  • Lệch vừa: cần sắp xếp lại toàn bộ cung răng khoảng 12–24 tháng
  • Lệch nặng: chen chúc nhiều, sai khớp cắn nghiêm trọng khoảng 24–36 tháng

Việc kéo dài thời gian trong các ca nặng là cần thiết để tránh tiêu xương, tụt lợi và tái lệch sau niềng.

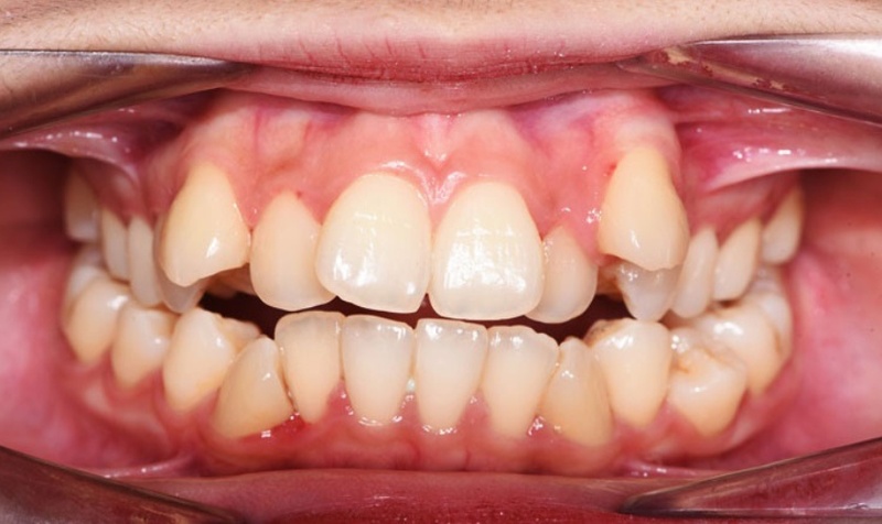
Mức độ lệch lạc của răng ảnh hưởng đến thời gian niềng răng
Mức độ lệch lạc của răng ảnh hưởng đến thời gian niềng răng

1.2 Độ tuổi niềng răng

Độ tuổi ảnh hưởng trực tiếp đến tốc độ dịch chuyển răng và khả năng thích nghi của xương hàm.

  • Trẻ em, thanh thiếu niên (10–16 tuổi): xương hàm đang phát triển, răng di chuyển nhanh, thời gian niềng có thể ngắn hơn 3–6 tháng so với người lớn.
  • Người trưởng thành: xương và răng đã ổn định nên cần nhiều thời gian hơn, nhưng với kỹ thuật hiện đại, niềng răng ở tuổi 25–40 vẫn đạt hiệu quả cao nếu kiểm soát lực tốt.

Hiện nay, tuổi tác không còn là rào cản lớn, quan trọng là đánh giá đúng tình trạng xương hàm và nha chu.

1.3 Phương pháp chỉnh nha

Phương pháp chỉnh nha ảnh hưởng đáng kể đến tốc độ và khả năng kiểm soát dịch chuyển răng:

  • Mắc cài kim loại/sứ: kiểm soát lực tốt, phù hợp ca phức tạp khoảng 18–24 tháng
  • Mắc cài tự buộc: giảm ma sát, rút ngắn thời gian trong nhiều trường hợp khoảng 12–18 tháng
  • Invisalign (khay trong suốt): ca nhẹ 6–12 tháng, toàn hàm 12–18 tháng nếu tuân thủ tốt
  • Mắc cài mặt trong: thẩm mỹ cao nhưng kỹ thuật phức tạp khoảng 18–30 tháng

1.4 Tay nghề bác sĩ và công nghệ nha khoa

Bác sĩ chỉnh nha có kinh nghiệm sẽ xây dựng phác đồ chính xác, phân bổ lực kéo hợp lý và can thiệp kịp thời khi răng dịch chuyển không như mong muốn. Bên cạnh đó, công nghệ chẩn đoán hiện đại như CT Cone Beam, phần mềm mô phỏng chỉnh nha giúp dự đoán tiến trình chính xác hơn, hạn chế kéo dài điều trị không cần thiết.

1.5 Mức độ hợp tác của bệnh nhân

Đây là yếu tố mang tính quyết định cuối cùng đến việc niềng răng lệch lạc mất bao lâu. Người niềng cần tái khám đúng lịch, đeo thun, khay niềng đúng thời gian chỉ định và giữ vệ sinh răng miệng tốt để tránh viêm nướu, bung khí cụ

Thiếu hợp tác có thể làm chậm tiến độ, thậm chí kéo dài thêm nhiều tháng so với kế hoạch ban đầu.

2. Khi nào lệch lạc phải nhổ răng mới niềng được?

Không phải mọi trường hợp răng lệch lạc đều cần nhổ răng. Việc nhổ răng chỉ được chỉ định khi không đủ khoảng để sắp xếp răng hoặc khi sai lệch quá nặng, nhằm đảm bảo hiệu quả chỉnh nha và sự ổn định lâu dài.

2.1 Chen chúc nặng, thiếu chỗ nhiều

Khi răng chen chúc nghiêm trọng và cung hàm không đủ chỗ, nhổ răng giúp tạo khoảng cần thiết để răng dịch chuyển đúng vị trí và nằm trong giới hạn xương ổ răng.

2.2 Răng xoay mạnh

Răng xoay nhiều, đặc biệt xoay trên 45 độ, thường cần thêm khoảng để chỉnh trục. Nhổ răng trong trường hợp này giúp răng xoay về đúng vị trí an toàn và ổn định hơn.

2.3 Khớp cắn sai nặng

Lệch lạc kèm cắn hở, cắn sâu hoặc lệch khớp cắn nặng có thể cần nhổ răng để điều chỉnh tương quan răng – hàm và đạt khớp cắn hài hòa sau niềng.

Lệch khớp cắn nặng có thể cần nhổ răng khi niềng
Lệch khớp cắn nặng có thể cần nhổ răng khi niềng

3. Thời gian từng giai đoạn khi niềng răng lệch lạc

Niềng răng lệch lạc gồm nhiều giai đoạn liên tiếp, mỗi giai đoạn cần đủ thời gian sinh lý để răng và xương ổ răng thích nghi, giúp kết quả bền vững và hạn chế biến chứng.

3.1 Giai đoạn sắp đều răng

Giai đoạn đầu kéo dài khoảng 4–6 tháng, tập trung làm thẳng và sắp xếp răng về vị trí tương đối đều.

3.2 Giai đoạn chỉnh trục, xoay răng

Bác sĩ điều chỉnh trục và hướng răng, đặc biệt quan trọng với răng xoay hoặc lệch nhiều, giúp răng vào đúng vị trí sinh lý.

3.3 Giai đoạn đóng khe, chỉnh khớp cắn

Giai đoạn này kéo dài 6–9 tháng, giúp đóng khoảng trống và cân bằng khớp cắn, đảm bảo chức năng ăn nhai ổn định.

3.4 Giai đoạn tinh chỉnh cuối

Tinh chỉnh hoàn thiện thẩm mỹ và khớp cắn trước khi tháo niềng, quyết định độ ổn định lâu dài của kết quả chỉnh nha.

4. Giải pháp giúp răng lệch lạc dịch chuyển nhanh, an toàn

Để niềng răng lệch lạc dịch chuyển nhanh và an toàn, cần được chẩn đoán chính xác ngay từ đầu, lựa chọn phương pháp chỉnh nha phù hợp với mức độ lệch và tuân thủ nghiêm ngặt chỉ định của bác sĩ trong suốt quá trình điều trị.

Những cách giúp rút ngắn thời gian niềng răng lệch lạc, đảm bảo an toàn:

  • Thăm khám tổng quát, chụp X-quang và lập phác đồ chỉnh nha chính xác ngay từ giai đoạn đầu
  • Lựa chọn khí cụ phù hợp tình trạng răng như mắc cài tự buộc hoặc Invisalign trong các trường hợp phù hợp
  • Tái khám đúng lịch để bác sĩ điều chỉnh lực kịp thời, tránh gián đoạn tiến trình
  • Đeo thun hoặc khay niềng đủ thời gian theo chỉ định
  • Giữ vệ sinh răng miệng tốt nhằm hạn chế viêm nướu, sâu răng gây gián đoạn điều trị
  • Hạn chế ăn đồ cứng, dai để tránh bung mắc cài hoặc biến dạng khí cụ

Việc tuân thủ đầy đủ các yếu tố trên giúp răng dịch chuyển đúng sinh lý, rút ngắn thời gian niềng và đảm bảo kết quả ổn định lâu dài.

Một số lưu ý giúp rút ngắn thời gian niềng răng lệch lạc
Một số lưu ý giúp rút ngắn thời gian niềng răng lệch lạc

Trên đây là giải đáp cho thắc mắc niềng răng lệch lạc mất bao lâu. Thời gian niềng phụ thuộc vào mức độ lệch răng, phương pháp chỉnh nha và sự tuân thủ điều trị. Khi được thăm khám kỹ và theo dõi đúng phác đồ, quá trình niềng răng lệch lạc sẽ diễn ra an toàn, hiệu quả và ổn định lâu dài.