40 tuổi có niềng răng được không là câu hỏi được nhiều người quan tâm khi muốn cải thiện thẩm mỹ và chức năng ăn nhai ở độ tuổi trung niên. Thực tế, niềng răng không bị giới hạn bởi tuổi tác. Tuy nhiên, để đảm bảo hiệu quả và an toàn, cần đánh giá kỹ tình trạng răng, nướu và xương hàm. Theo các bác sĩ tại BookDentist, việc thăm khám sớm sẽ giúp xác định chính xác khả năng niềng và lựa chọn phương pháp phù hợp.
1. 40 Tuổi có niềng răng được không?
40 Tuổi vẫn có thể niềng răng khi răng và xương hàm còn đủ điều kiện. Tuy nhiên, quá trình sẽ chậm hơn so với người trẻ do xương đã ổn định, cần bác sĩ đánh giá kỹ để đảm bảo an toàn và hiệu quả.

2. Điều kiện để niềng răng ở tuổi 40
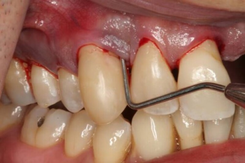
Để niềng răng ở tuổi 40 an toàn và hiệu quả, cần đảm bảo răng chắc khỏe, nướu không viêm nha chu và xương hàm đủ khả năng nâng đỡ. Việc thăm khám, chụp X-quang và điều trị dứt điểm các bệnh lý răng miệng là bước bắt buộc trước khi bắt đầu chỉnh nha.
- Nền răng và nướu khỏe: Răng không lung lay, nướu không viêm, không có tình trạng viêm nha chu tiến triển hoặc tụt nướu nghiêm trọng.
- Xương hàm đủ mật độ: Xương nâng đỡ răng còn chắc, không tiêu xương nhiều để đảm bảo răng có thể di chuyển ổn định.
- Điều trị dứt điểm bệnh lý răng miệng: Các vấn đề như sâu răng, viêm nướu, nha chu cần được xử lý hoàn toàn trước khi niềng để tránh biến chứng trong quá trình điều trị.
- Đảm bảo số lượng răng trên cung hàm: Trường hợp mất răng cần có kế hoạch phục hình (như trồng implant) để hỗ trợ quá trình dịch chuyển răng.
- Chụp phim và kiểm tra chuyên sâu: Bác sĩ sẽ chỉ định chụp X-quang hoặc CT Conebeam để đánh giá cấu trúc xương, chân răng và lập kế hoạch di chuyển phù hợp.
- Sự kiên trì trong quá trình niềng: Thời gian niềng ở tuổi 40 thường kéo dài khoảng 18–30 tháng, đòi hỏi tuân thủ hướng dẫn và tái khám định kỳ.

3. Khó khăn khi niềng răng ở tuổi 40
So với người trẻ, niềng răng ở tuổi 40 gặp nhiều khó khăn do xương hàm đã ổn định và sức khỏe răng miệng có thể suy giảm theo thời gian. Những yếu tố này khiến quá trình chỉnh nha trở nên phức tạp hơn và đòi hỏi sự kiên trì cao.
Các khó khăn thường gặp gồm:
- Thời gian niềng kéo dài: Xương hàm cứng và ít tái tạo khiến răng di chuyển chậm, thời gian niềng thường từ 18–30 tháng, thậm chí có thể lâu hơn tùy tình trạng.
- Nguy cơ bệnh lý răng miệng cao: Người 40 tuổi dễ gặp viêm nướu, viêm nha chu, mòn men hoặc tiêu xương, cần điều trị triệt để trước và trong quá trình niềng.
- Răng dễ yếu và lung lay hơn: Nếu lực kéo không phù hợp, có thể gây tiêu xương quanh răng, làm răng yếu hoặc lung lay.
- Ảnh hưởng sinh hoạt và tâm lý: Khí cụ niềng có thể gây vướng víu, khó chịu trong giao tiếp; cảm giác ê buốt thường xuất hiện vài ngày sau mỗi lần điều chỉnh.
- Chi phí và thời gian theo dõi cao hơn: Quá trình điều trị kéo dài, cần tái khám định kỳ và chăm sóc kỹ lưỡng nên tổng chi phí và công sức cũng tăng lên.

4. Giải pháp niềng răng phù hợp ở tuổi 40
Ở tuổi 40, việc lựa chọn phương pháp niềng không chỉ dựa vào chi phí mà còn cần cân nhắc yếu tố thẩm mỹ, sự tiện lợi và khả năng kiểm soát lực. Bác sĩ sẽ dựa trên tình trạng răng – xương hàm để xây dựng phác đồ cá nhân hóa, giúp tối ưu kết quả và hạn chế rủi ro.
- Khay niềng trong suốt (Invisalign):
Là lựa chọn ưu tiên cho người trưởng thành nhờ tính thẩm mỹ cao, gần như “vô hình” khi đeo. Khay có thể tháo lắp linh hoạt khi ăn uống và vệ sinh, giúp giảm nguy cơ viêm nướu và thuận tiện trong sinh hoạt hàng ngày. - Mắc cài sứ:
Có màu sắc tương đồng với răng thật nên ít lộ hơn mắc cài kim loại. Phương pháp này vẫn đảm bảo lực kéo ổn định và hiệu quả chỉnh nha tốt. - Mắc cài tự buộc (kim loại hoặc sứ):
Sử dụng hệ thống nắp trượt giúp giảm ma sát, hạn chế đau và có thể rút ngắn thời gian điều trị, đồng thời giảm số lần tái khám. - Mắc cài mặt trong (mặt lưỡi):
Gắn ở mặt trong của răng nên đảm bảo thẩm mỹ tối đa. Tuy nhiên, phương pháp này có thể gây khó chịu ban đầu và yêu cầu vệ sinh kỹ hơn. - Niềng kết hợp phục hình (implant, bọc sứ):
Áp dụng trong trường hợp mất răng hoặc răng yếu, giúp vừa chỉnh nha vừa phục hồi chức năng ăn nhai và thẩm mỹ.
5. Khi nào không nên niềng răng ở tuổi 40
Dù niềng răng ở tuổi 40 vẫn khả thi, nhưng không phải trường hợp nào cũng phù hợp để thực hiện ngay. Việc đánh giá kỹ tình trạng răng miệng và sức khỏe tổng thể là yếu tố bắt buộc để đảm bảo an toàn lâu dài.
Các trường hợp cần hạn chế hoặc không nên niềng gồm:
- Bệnh nha chu nặng, tiêu xương ổ răng: Nướu viêm, chân răng yếu khiến răng không đủ vững để chịu lực, nguy cơ lung lay hoặc mất răng khi niềng.
- Mất nhiều răng: Không đủ răng để làm điểm tựa cho khí cụ chỉnh nha → khó kiểm soát hướng di chuyển.
- Sức khỏe toàn thân chưa kiểm soát: Các bệnh như tiểu đường, tim mạch hoặc bệnh xương khớp có thể làm chậm quá trình lành thương và ảnh hưởng đến kết quả niềng.
- Răng đã phục hình nhiều (cầu răng, implant, răng sứ): Gây khó khăn trong việc gắn khí cụ và di chuyển răng, đôi khi không thể niềng theo cách thông thường.
- Rối loạn khớp thái dương hàm: Tình trạng đau hàm, lệch khớp cần điều trị ổn định trước khi chỉnh nha.
- Không sẵn sàng về thời gian và chăm sóc: Niềng răng ở tuổi 40 thường kéo dài 18–30 tháng hoặc hơn, đòi hỏi tái khám đều và vệ sinh răng miệng nghiêm ngặt.

6. Câu hỏi thường gặp 40 tuổi có niềng răng được không
6.1 40 Tuổi niềng răng có hiệu quả không?
Có. Khi răng và xương hàm còn đủ điều kiện, niềng răng ở tuổi 40 vẫn mang lại hiệu quả rõ rệt về thẩm mỹ và chức năng. Tuy nhiên, thời gian điều trị thường kéo dài hơn so với người trẻ.
6.2 Niềng răng ở tuổi 40 mất bao lâu?
Thời gian niềng răng thường dao động từ 18–30 tháng, tùy vào mức độ lệch răng và phương pháp chỉnh nha được lựa chọn.
6.3 Niềng răng tuổi 40 có đau không?
Trong giai đoạn đầu hoặc sau mỗi lần điều chỉnh lực, có thể xuất hiện cảm giác ê nhẹ hoặc căng tức. Tình trạng này thường giảm dần sau vài ngày và nằm trong mức chịu được.
6.4 Nên chọn mắc cài hay khay trong suốt?
Việc lựa chọn phụ thuộc vào nhu cầu cá nhân. Khay trong suốt phù hợp với người cần tính thẩm mỹ cao và tiện tháo lắp, trong khi mắc cài thường mang lại hiệu quả ổn định và tối ưu hơn với các trường hợp răng lệch phức tạp.
Tóm lại, 40 tuổi có niềng răng được không còn phụ thuộc vào tình trạng răng miệng và sức khỏe tổng thể. Khi đáp ứng đủ điều kiện và có kế hoạch điều trị đúng, niềng răng vẫn mang lại hiệu quả rõ rệt dù ở độ tuổi này. Việc thăm khám sớm với bác sĩ sẽ giúp bạn có hướng điều trị phù hợp, an toàn và đạt kết quả lâu dài.

Bookdentist là nền tảng đặt lịch nha khoa trực tuyến hoàn toàn miễn phí, cung cấp thông tin răng hàm mặt chính xác và trung lập. Hiện Bookfentist kết nối hơn 5.000 phòng khám nha khoa trên toàn quốc, hỗ trợ tìm kiếm và đặt lịch nhanh chóng, với nội dung được xây dựng từ trải nghiệm thực tế, đảm bảo khách quan và minh bạch.
